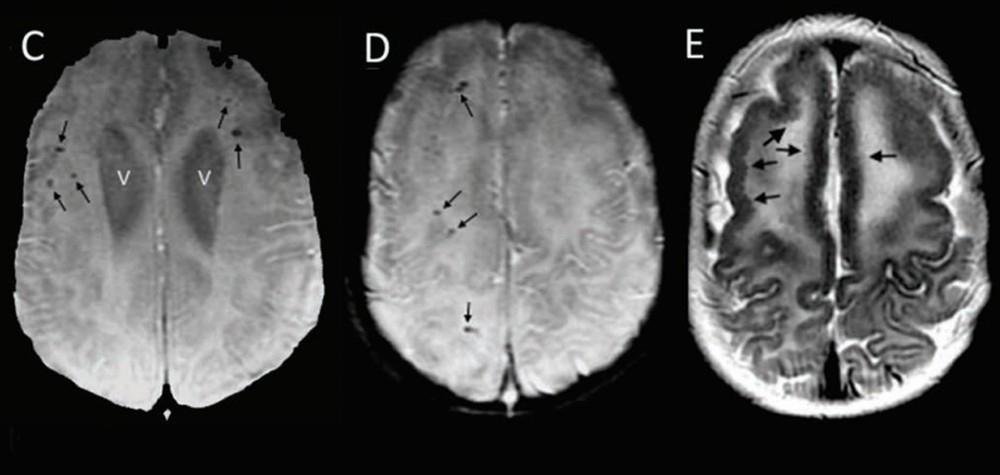
Alguns bebês infectados pelo vírus da zika nascem aparentemente saudáveis, mas têm malformações cerebrais e depois desenvolvem a microcefalia, um crescimento da cabeça abaixo da média, segundo um estudo divulgado na terça-feira (22).
Os Centros de Controle e Prevenção das Doenças dos Estados Unidos (CDC, na sigla em inglês) publicaram um estudo que descreve 13 casos nos estados de Pernambuco e Ceará de bebês cujas mães tiveram zika durante a gravidez.
“Destes, 11 desenvolveram microcefalia mais tarde”, afirmaram os cientistas. “Este crescimento anormalmente lento da cabeça foi acompanhado por sérias complicações neurológicas”. Segundo o estudo, a desaceleração do crescimento da cabeça foi verificada a partir do 5º mês de idade, no mínimo.
Sete dos 13 bebês sofreram de epilepsia e “todos tinham problemas de motricidade similares aos de uma paralisia cerebral”, acrescentou o estudo.
Os recém-nascidos foram observados durante seu primeiro ano de vida e, portanto, eram pequenos demais para que suas deficiências cognitivas pudessem ser avaliadas.
Os pesquisadores já sabiam que o zika podia causar problemas no desenvolvimento cerebral mesmo quando não havia sinais externos de microcefalia. Mas o novo trabalho é o primeiro a mostrar o desenvolvimento dos sintomas após o nascimento.
“Uma microcefalia pode não ser evidente no nascimento, mas se desenvolver mais tarde com anormalidades cerebrais subjacentes”, disse o estudo.
No entanto, nem todos os bebês nascidos após terem sido expostos ao zika desenvolveram este tipo de problema, e os pesquisadores ressaltam que o estudo não indica a incidência com que a microcefalia pode se desenvolver depois do nascimento.
Os especialistas pedem, porém, aos ginecologistas, que realizem tomografias cerebrais nos fetos expostos ao zika e que façam acompanhamento médico do seu desenvolvimento nos meses posteriores ao nascimento. Os autores do trabalho são de 17 instituições brasileiras e americanas.
G1














































